
WebUna guarigione completa è difficilmente ottenibile, perché il paziente affetto, non riesce a mantenere autonomamente, un equilibrio della flora del cavo orale.. WebOltre ad essere causa di alitosi, la parodontite rovina l'estetica e l'armonia del sorriso, perché può originare gengivite, sanguinamento gengivale, recessioni. WebLa parodontite è una delle principali cause della perdita dei denti negli adulti e la causa principale negli anziani. L’infezione erode l’osso che mantiene i denti in posizione.. WebE’ molto semplice, per poter dire sono guarito dalla parodontite, devono scomparire i segni ed i sintomi. Le gengive devono assumere una colorazione rosa,. Webbonjour je suis comme vous j ai une paradontie et je vais perdre mes dents si je ne fais rien mon stomato m a conseillé la chirurgie a lambeaux pour nettoyer les.
Soggiorno Pavimento In Cotto Colore Pareti, COME SCEGLIERE IL COLORE GIUSTO PER TINTEGGIARE | Belula Design, 4.23 MB, 03:05, 26,329, Belula Design, 2020-09-18T15:30:00.000000Z, 3, Cotto pareti blu | Arredamento soggiorno, Idee arredamento soggiorno, www.pinterest.com, 736 x 734, jpeg, cotto pareti pavimento pavimenti colori arrotato piastrelle terracotta cerato salotto fliesen 30x30 verona abbinare soggiorno gres chiemgauer fliesenzentrum domus, 20, soggiorno-pavimento-in-cotto-colore-pareti, New Topics
Webbonjour je suis comme vous j ai une paradontie et je vais perdre mes dents si je ne fais rien mon stomato m a conseillé la chirurgie a lambeaux pour nettoyer les. WebLa parodontite, detta anche piorrea o parodontopatia, è un’infezione batterica polimicrobica che colpisce il parodonto, cioè i tessuti e le strutture che sostengono i denti: gengive,. WebLa parodontite è un problema molto diffuso: ci sono dei segnali da non ignorare, e la prevenzione è una fase essenziale per il sorriso WebLa parodontite è una malattia abbastanza diffusa, colpisce prevalentemente in età adulta e può avere un livello di aggressività estremamente variabile. Esistono. WebUne parodontite peut aussi provoquer des problèmes dans l’ensemble de votre organisme. Elle a été associée à un plus grand risque de maladies cardiaques, d’attaques. WebSi può guarire dalla parodontite? La risposta è sì e ogni paziente potrà, se seguirà i consigli del dentista, un giorno dire “sono guarito dalla parodontite”. La parodontite è. WebLa parodontite si può curare? (dr.ssa Musio) – Dalla parodontite si può guarire, sebbene non ci siano farmaci che curano questa malattia. Lo specialista (parodontologo) prescrive. WebFisiopatologia della parodontite. La parodontite di solito si sviluppa quando una gengivite , in genere con abbondante placca e tartaro (una concrezione di batteri, residui di cibo,. WebLe cause della parodontite sono principalmente riconducibili ad un’inadeguata igiene orale. Se lo spazzolino non viene utilizzato correttamente, oppure ci si lava i denti soltanto una.
Ultimi Trattamento parodontite – Curettage e sondaggio parodontale ©
Qui 102 - Stomatite del gatto, stai facendo la cosa giusta Ultimo
Argomenti Forum Tv - 213 con Dott. Francesco Saverio Martelli
Spiegazione Sono Guarito Dalla Parodontite Forum potrebbe essere interessante
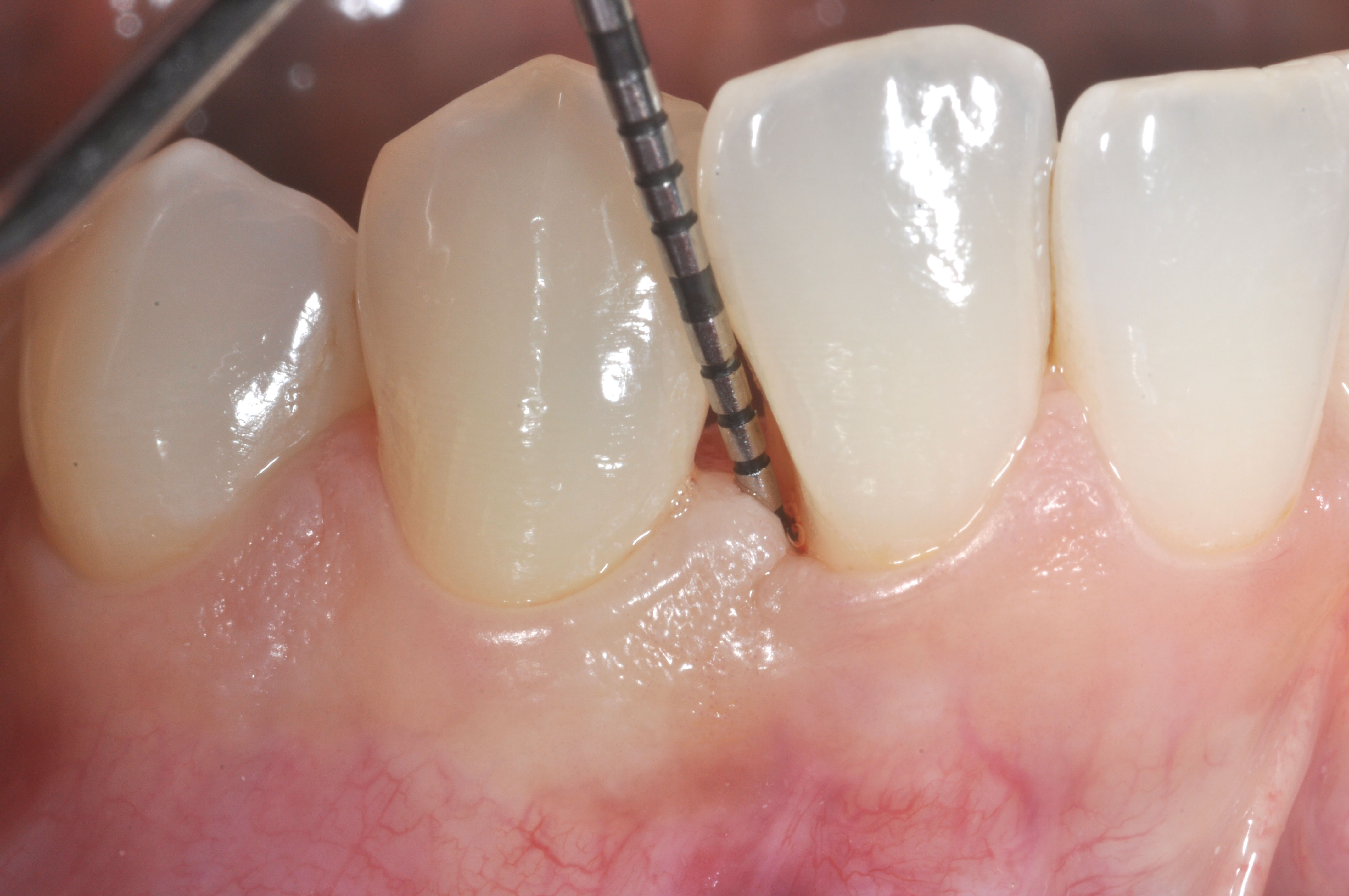
Video su trattamento della piorrea attraverso sondaggio parodontale e curettage. Qui possiamo vedere la procedura di sondaggio parodontale, uno degli elementi utilizzati per la diagnosi della malattia parodontite. A maggior misura, maggiore tasca parodontale esiste. L’accumulo progressivo di placca e di tartaro provocherà il riassorbimento dell’osso che serve da supporto dei denti. La gengiva mostrerà sintomi d’infiammazione e sanguinamento, tra altri. Una volta mineralizzata la placca, la stessa diventa tartaro, e non si può più eliminare attraverso il normale spazzolato.
Per eliminare il tartaro si adoperano apparecchi a ultrasuoni e cucchiai che sono introdotti per eliminare il tartaro situato sotto la gengiva. Si possono anche utilizzare gli strumenti per lisciare la superficie del dente. La gengiva, in assenza di placca e di tartaro, si disinfiammerà e tornerà allo stato salutare, potendo dar luogo a ritrazioni. In questa immagine laterale possiamo vedere la predetta procedura di eliminazione del tartaro e successivo sgonfiamento della gengiva. Animazione 3D di Clínica Pardiñas ( j.mp/cPardinas).
Iscriviti al nostro canale YouTube 👉 bit.ly/suscribeteCP
ALTRI VIDEO di Odontoiatria 3D in italiano 👉 bit.ly/odontoiatria3D
Seguici anche su @clinicapardinas:
👍 Instagram: instagram.com/clinicapardinas
👍 Facebook: facebook.com/clinicapardinas
👍 Twitter: twitter.com/Clinica Pardinas
👍 Linkedin: linkedin.com/company/clinica-pardinas
👍 Tiktok: tiktok.com/@clinicapardinas/
👍 Pinterest: pinterest.es/clinicapardinas/
#parodontite #curettage #sondaggio
I denti sono davvero persi con la parodontite? - Studio Dentistico di tendenza

Video Parodontite | Dental Clinic Trimarchi

Attualmente - Parodontite | Curasept Ultimo

Informazioni Parodontite - Studio Odontoiatrico Salerno

Visualizza Parodontite come curare la malattia paradontale? - guerinopaolantoni aggiornato

La parodontite più frequente? La parodontite cronica - Centro Ultimo

Conosci la parodontite? - Dentista Buoncristiani di tendenza

Informazioni Che cos'è la parodontite e quali sono i trattamenti più indicati - Dott di tendenza

Notizie Cos'è la Parodontite • Gengive.org • Malattia Parodontale Nuovo

Guarda Parodontite o piorrea: trattiamola con i rimedi naturali | GuidaSalute.it diventato virale

Parodontologia | Cura della Parodontite | Centro Dentale Palestro Ultimo
Informazioni Parodontite come curare la malattia paradontale? - guerinopaolantoni virale

Visualizza La Parodontite - Studio odontoiatrico Palermo Marra Sicurella
Richiesto La Parodontite Roma - Implantologia dentale Roma Prezzi aggiornato

Richiesto parodontite_01 - Studio Medical San Giorgio di tendenza




No comments:
Post a Comment